مطالعه علمی
کل اخبار:1
-
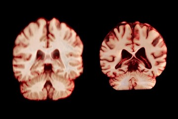
مغز مردان سریعتر از زنان کوچک میشود
مغز زنان کُندتر پیر میشود، اما به نظر نمیرسد که این موضوع آنها را از ابتلا به نوع شایع زوال عقل محافظت کند.
مغز زنان کُندتر پیر میشود، اما به نظر نمیرسد که این موضوع آنها را از ابتلا به نوع شایع زوال عقل محافظت کند.